En relación con el último post titulado "Lumbociática: ¿reposo y antiinflamatorios?" quisiera contaros una fábula científica que muchos de vosotros ya conoceréis y que trata sobre un curioso experimento científico realizado con nuestros primos los chimpancés. Le he llamado fábula, a pesar de que los animales protagonistas no hablan, por tres razones. La primera es porque no tengo pruebas de que el experimento haya sido realizado en realidad, aunque es probable que así haya sido. La segunda es porque de alguna manera hablan, aunque no con palabras. La tercera razón es porque su lectura es ejemplarizante, tiene moraleja, podemos aprender algo de ella y es fácil que nos sintamos identificados con la situación en ella representada.
Vayamos al grano.
Unos científicos ansiosos con acceso a una jaula de chimpancés y nómina en una empresa con un elevado montante de subvenciones estatales en I+D+i, deciden dedicar su tiempo a realizar un experimento con el siguiente diseño.
Una población de chimpancés en número de cinco individuos son confinados en una vivienda con paredes de barrotes y por lo tanto sin problemas de ventilación. En el centro de la estancia se dispone una escalera de aproximadamente unos 10 peldaños, en cuyo extemo superior se coloca un racimo de plátanos o bananas que, como es sabido, constituyen una tentación a la que el primate no se suele resistir (se procederá al recambio del racimo de plátanos en caso de que sea necesario, si su estado de maduración los convierte en poco apetitosos al goloso simio).
En el momento que se descubre el manjar y todavía con cierta confusión el primero de los monos sube por la escalera, segregando más saliva que el perro de Paulov, y alcanza los plátanos, momento que aprovechan los científicos para suministrar un manguerazo de agua helada a los monos que se han quedado esperando, con el consiguiente enfado de los mismos. Esta conducta se repite unas cuantas veces. Más o menos a partir de la tercera los más agudos intuyen que cada vez que uno de ellos toque un plátano los demás recibirán un manguerazo de agua helada automáticamente. Los más frioleros se hacen dueños de la situación y cada vez que un mono con apetito sube a la escalera lo disuaden rápidamente a base de gritos y golpes que generosamente le propinan hasta en el cielo de la boca. Pronto todos aprenden lo que no se debe hacer, y a la manguera comienzan a salirle telarañas por desuso.
Pero hete aquí que los científicos, algo aburridos, deciden sustituir uno de los ejemplares por otro menos maleado y más inocente. Según entra en la jaula y nada más ver el racimo de plátanos en lo alto de la escalera piensa para sí que el racimo debe de ser un regalo de bienvenida y decide darse un homenaje. Pone un pie en el primer peldaño y el resto de los monos lo agarran y le dan otro tipo de bienvenida para que aprenda que esos plátanos son sagrados y no se tocan. Lo aprendió muy rapidito.
En la fase tres del estudio se sustituye otro mono titular por otro suplente. Al poner el pie en el primer peldaño recibe una monumental paliza a la que se suma con gran interés, a pesar de no conocer muy bien los motivos, el primer mono suplente.
Van sustituyendo el tercero y el cuarto. Y siempre que los nuevos intentan subir por la escalera son disuadidos eficazmente por todos los demás sin excepción.
Cuando sustituyen al quinto chimpancé comprueban con asombro que intenta subir a la escalera y todos los demás monos se lo impiden de una forma expeditiva haciendo uso de la violencia. Ninguno de los monos agresores ha recibido nunca un manguerazo de agua helada porque todos los monos titulares han sido sustituidos. El resto de los monos ha aprendido que por alguna razón no se pueden comer los plátanos del extremo de la escalera.
Si los monos pudieran hablar, el quinto de los monos suplentes preguntaría a los demás: ¿pero por qué no podemos coger los plátanos de la escalera, con lo ricos que están?
Cualquiera de sus congéneres sin tener muy clara la razón auténtica le contestaría: "No sé, aquí las cosas siempre se han hecho así".
Afortunadamente no somos chimpancés, tenemos más facilidad para la comunicación que ellos y tal vez algunos de nosotros tengamos más espíritu crítico. No obstante y sorprendentemente, es difícil cambiar una rutina. Se necesita iniciativa, ilusión, compromiso, dedicación y esfuerzo o, en caso de carencia de una o más de las anteriores cualidades, al menos interés (reconocimiento, popularidad, poder, o retribución, bien sea económica o en especie). Personalmente me parecen menos contaminantes las primeras aunque desafortunadamente muy escasas en los tiempos que corren (y me incluyo); y de las segundas, me inspiran cierta ternura el reconocimiento y la retribución siempre que sea transparente y proporcionada. En cuanto al poder y la popularidad me gustan menos como impulsoras del avance científico, pero me temo que globalmente y en la actualidad tienen un elevado peso específico en el mismo.
27 jul 2010
El experimento de los monos
26 jul 2010
Lumbociática ¿reposo y antiinflamatorios?
La vida del médico es siempre sorprendente. Desde nuestra gestación como profesionales de la salud hemos oído a nuestros ancestros lo de "reposo y antiinflamatorios" cada vez que pasaba cerca de nosotros alguien con dolor lumbar o ciatalgia agudos. Tan unánime era esa creencia que muchos de nosotros jamás la cuestionamos y los más escépticos la ponían en cuarentena indefinidamente dado que había otras verdades más discutibles que derribar. Afortunadamente, aunque no en todos los casos, suele haber quien cuestiona las verdades ancestrales aceptadas por la comunidad científica, algunas de las cuales resultan no ser tan ciertas. A veces incluso hay quien posteriormente cuestiona la nueva verdad, que por supuesto acaba por ser tan incierta como la primera. Es un laberinto, y un trabalenguas. Proporciona cierta inseguridad comprobar como algo se acepta como cierto por la sencilla razón de que algunos con credibilidad lo han repetido hasta la saciedad y han encontrado en los demás una buena caja de resonancia.
La capacidad crítica y el sentido común debe presidir la actuación del médico. Y si algo no parece lógico, debe cuestionarse. En ocasiones conviene incluso cuestionarlo aunque parezca lógico. Con esto no estoy diciendo que no parezca lógico prescribir reposo en una lumbalgia o ciatalgia agudas. Tampoco estoy bendiciendo el contenido del artículo que voy a citar. Pero me parece interesante, digno de consideración y sobre todo ejemplarizante, y no menos sorprendente. La medicina basada en la evidencia nos tiene reservadas muchas sorpresas que irán aflorando poco a poco en años venideros. Pero ya tenemos suficientes indicios que apoyan la doctrina de que en Medicina debería estar prohibido pontificar.
Aunque a algunos profesionales e incluso a algunos pacientes les haya ido bien.
La lumbalgia, ciatalgia y lumbociatalgia agudas son un frecuente motivo de consulta en los servicios de urgencias causado la mayor parte de las veces por patología degenerativa lumbar. A veces son cuadros aparatosos e invalidantes para los pacientes, que suplican una solución para su problema. ¿Qué haremos después de leer este artículo? ¿Suavizar nuestra recomendación de reposo en la lumbalgia y mantenerla en la ciatalgia? ¿Suavizarla en ambos casos? ¿Recomendar actividad suave en la lumbalgia? ¿Recomendarla en la lumbalgia y la ciatalgia? o quizá mantener la misma conducta que hasta ahora mientras nuevas investigaciones no terminen de alcarar cuál es la mejor recomendación. Si empíricamente alguien tiene la sensación de que es mejor la actividad que el reposo para estos pacientes pero no se ha atrevido a popularizarlo por miedo a que lo tomasen por loco, también puede ser el momento para comentarlo.
A continuación podéis leer el abstract del artículo en cuestión.
Cochrane Database Syst Rev. 2010 Jun 16;6:CD007612.
Dahm KT, Brurberg KG, Jamtvedt G, Hagen KB.
Norwegian Knowledge Centre for the Health Services, PO Box 7004, St. Olavs Plass, Oslo, Norway, N-0130.
BACKGROUND: Acute low-back pain (LBP) is a common reason to consult a general practitioner. Debate continues on the comparative effectiveness of advice on bed rest and staying active as part of the primary care management. OBJECTIVES: To determine the effects of advice to rest in bed or stay active for patients with acute low-back pain or sciatica. SEARCH STRATEGY: We searched the Cochrane Back Review Group Trials Register, CENTRAL, MEDLINE, EMBASE, Sport, and SCISEARCH to May 2009, reference lists of relevant articles, and contacted authors of relevant articles. SELECTION CRITERIA: Randomised trials of the effectiveness of advice to stay active or rest in bed for patients with acute LBP or sciatica. The main outcomes were pain, functional status, recovery and return to work. DATA COLLECTION AND ANALYSIS: Two authors independently selected trials, assessed the risk of bias and extracted data. The trials were combined qualitatively or statistically, depending on data availability and presentation. MAIN RESULTS: We included ten RCTs with varying risk of bias. For patients with acute LBP, results from two trials (N = 401) suggest small improvements in pain relief (SMD 0.22 (95% CI: 0.02 to 0.41) and functional status (SMD 0.29 (95% CI: 0.09 to 0.49) in favour of advice to stay active. For patients with sciatica, there is moderate quality evidence of little or no difference in pain relief (SMD -0.03 (95% CI: -0.24 to 0.18)) or functional status (SMD 0.19 (95% CI: -0.02 to 0.41)), between advice to rest in bed or stay active.Low quality evidence (3 RCTs, N = 931) suggests little or no difference between exercises, advice to rest in bed or stay active for patients with acute LBP. Low quality evidence (1 RCT, N = 250) suggests little or no difference between physiotherapy, advice to rest in bed or stay active for patients with sciatica. No trials that compared different ways of delivering advice. AUTHORS' CONCLUSIONS: Moderate quality evidence shows that patients with acute LBP may experience small benefits in pain relief and functional improvement from advice to stay active compared to advice to rest in bed; patients with sciatica experience little or no difference between the two approaches. Low quality evidence suggests little or no difference between those who received advice to stay active, exercises or physiotherapy. Further research is very likely to have an important impact on the estimate of effect and is likely to change our confidence in it.
19 jul 2010
Quiste de Thornwaldt (Thornwaldt cyst)

El quiste de Thornwaldt es un quiste de origen embrionario que suele ser un hallazgo incidental frecuente en estudios de resonancia magnética. Se identifica la mayor parte de las veces como una pequeña lesión quística superficial en la línea media de la porción posterosuperior de la nasofaringe, hiperintensa en secuencia T2 y de intensidad intermedia en T1 (variable según la composición del contenido). En contadas ocasiones puede producir manifestaciones clínicas (sensación de ocupación nasofaríngea, dolor, halitosis).
10 jul 2010
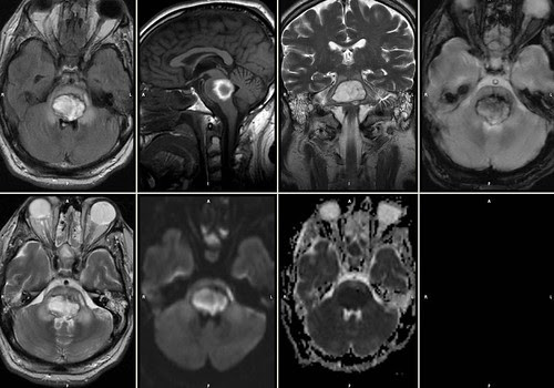
Hematoma protuberancial
Aquí podeis ver una resonancia magnética de un hematoma protuberancial. El estudio de neuroimagen presentado consta de las secuencias: FLAIR axial, T1 sagital, T2 coronal, T2 eco de gradiente axial, T2 axial, difusión, mapa ADC.
7 jul 2010
TC de Oídos (íntegro) (Temporal bone CT, full text)
La que veis más arriba es una versión completa propia del artículo final que se publicó en la revista reseñada más abajo al que ya nos hemos referido en otro post anterior. Nos hemos animado a colgarla como respuesta al interés personal de un lector.
Aknowledgement to Surgical and Radiologic Anatomy (Springer)
The final publication is available at springerlink.com
Suscribirse a:
Comentarios (Atom)