El vasospasmo es una temible complicación de la hemorragia subaracnoidea que suele ocurrir pasados unos días del evento hemorrágico. Es la causa más importante de déficit neurológico isquémico tardío en pacientes que han sufrido una hemorragia subaracnoidea y por lo tanto una importante causa de morbimortalidad en estos pacientes (se estima que aproximadamente uno de cada cuatro pacientes que ingresan por hemorragia subaracnoidea sufren esta complicación). Los estudios de neuroimagen demuestran una disminución generalmente uniforme del calibre de una o varias arterias intracraneales similar a la que podemos observar en este estudio angiográfico en las arterias carótida interna, cerebral anterior y cerebral media del lado izquierdo.
31 dic 2010
Vasospasmo cerebral
El vasospasmo es una temible complicación de la hemorragia subaracnoidea que suele ocurrir pasados unos días del evento hemorrágico. Es la causa más importante de déficit neurológico isquémico tardío en pacientes que han sufrido una hemorragia subaracnoidea y por lo tanto una importante causa de morbimortalidad en estos pacientes (se estima que aproximadamente uno de cada cuatro pacientes que ingresan por hemorragia subaracnoidea sufren esta complicación). Los estudios de neuroimagen demuestran una disminución generalmente uniforme del calibre de una o varias arterias intracraneales similar a la que podemos observar en este estudio angiográfico en las arterias carótida interna, cerebral anterior y cerebral media del lado izquierdo.
29 dic 2010
Tiempo atmosférico y rotura de aneurismas cerebrales

Quizá muchos de vosotros hayáis crecido en un ambiente en el que se aceptaba sin mucha resistencia, aunque sin mucha fe, la existencia de una influencia de factores meteorológicos o estacionales en la rotura de los aneurismas cerebrales. Aunque supongo también que, como en mi caso, no seríais capaces de predecir el aumento o descenso la incidencia de hemorragia subaracnoidea prestando atención a la información meteorológica diaria en los diversos medios informativos. Ha habido publicaciones que han apuntado la existencia de estos factores meteorológicos o estacionales y que han creído identificar algunos de ellos y otras no han sido capaces de demostrar esta relación.
Por fortuna siempre hay científicos que insisten en ir un poco más allá. En el número de enero de 2011 de Neurosurgery se publica un estudio realizado en base a datos obtenidos de 155 hospitales en el que parece descartarse la relación entre el tiempo atmosférico o estación climática y la rotura de aneurismas. Es probable que muchos de nosotros con el paso de los años y basándonos en experiencias personales hayamos llegado a poner en duda la existencia de una relación no despreciable entre factores climatológicos y la llegada al hospital de hemorragias subaracnoideas, pero es agradable observar como hay gente que da un paso más y se esfuerza por profundizar en el conocimiento de las enfermedades con estudios como éste, que consigue restar credibilidad a una secular leyenda urbana implantada en el tuétano de muchos neurocientíficos.
17 dic 2010
Fibrolipoma del filum terminale
Neuroimagen por resonancia magnética de la columna lumbar de un paciente con un fibrolipoma del filum terminale, alteración de origen malformativo que se puede asociar en ocasiones a médula anclada o síndrome del filum tenso. En este paciente coincide con la existencia de "limbus vertebra" L3 y L4 (fragmento del reborde anterior vertebral que aparece separado del resto del cuerpo vertebral y presenta habitualmente una morfología triangular).
14 dic 2010
Medicina, cultura, literatura, resignación y admiración.
Pido perdón de antemano porque este post es un poco tangencial a la temática habitual del blog. Este post trata de resignación y de admiración. Cuando estaba en la facultad de Medicina dedicaba casi todo mi tiempo libre a actividades ajenas a la lectura. Tenía tanto que leer en mi actividad académica que en los ratos libres procuraba practicar actividades menos intelectuales. Pero la formación en Medicina no acaba en la facultad. Llegó un momento en que tuve la sensación de que nunca me sentiría más culto que durante aquellos años en que todavía no había olvidado muchos de los conocimientos adquiridos durante la educación general básica (E.G.B), el bachillerato unificado y polivalente (B.U.P) y el curso de orientación universitaria (C.O.U), (¡Qué manía de poner nombres raros y perecederos a las cosas!) Desde entonces he aprendido, por supuesto, muchas cosas relacionadas con la Medicina y, posteriormente, con la Radiología y, posteriormente, con la Neurorradiología, y al mismo tiempo he ido olvidando cada vez más cosas, sobre todo de la educación preuniversitaria (también de la universitaria, por supuesto). Sigo aprendiendo cosas de la especialidad que practico y olvidando otras que me quedan más lejanas (para ser justo debo admitir que también aprendo algunas cosas fuera del ámbito profesional y además he recuperado un poco la afición a la lectura). Pero cada uno tiene una capacidad y cuando se llena el disco, para seguir metiendo hay que ir sacando por otro lado. Así es la vida. Resignación.
Pero no todo el mundo es igual. El mundo ha estado, está y estará, salpicado de personas con una gran capacidad intelectual, o una extraordinaria capacidad de trabajo, o ambas cosas. Ha habido grandísimos médicos humanistas. Buenos literatos, filósofos, artistas. Ha habido quienes sin apartarse del ejercicio profesional de la Medicina han sido capaces de dotar su actividad extraprofesional de un brillo sobresaliente. Y eso me sigue despertando una profunda admiración, tengo que admitir que no exenta de una pequeña dosis de sana envidia.
Y hace poco me encontré con un libro que me llamó la atención. "Hijos de un rey godo". Yo no tuve que aprenderme de pequeño la lista de los reyes godos, pero leía en los comics de Zipi y Zape que esa era su peor pesadilla. Lo compré. Me sorprendió el hecho de que su autora, María Gudín, fuera médico. Concretamente neuróloga. Confieso que en ese momento tuve dudas. Se fueron disipando a medida que leía. Tenía entre mis manos una excelente novela, mezcla de historia y ficción, de lectura absolutamente placentera y adictiva. María Gudín es una extraordinaria escritora, con el mérito añadido de no haber abandonado el ejercicio de la Neurología. Hoy me permito la licencia de recomendar una novela. Enhorabuena a María Gudín. Resignémonos y admiremos.
Pero no todo el mundo es igual. El mundo ha estado, está y estará, salpicado de personas con una gran capacidad intelectual, o una extraordinaria capacidad de trabajo, o ambas cosas. Ha habido grandísimos médicos humanistas. Buenos literatos, filósofos, artistas. Ha habido quienes sin apartarse del ejercicio profesional de la Medicina han sido capaces de dotar su actividad extraprofesional de un brillo sobresaliente. Y eso me sigue despertando una profunda admiración, tengo que admitir que no exenta de una pequeña dosis de sana envidia.
Y hace poco me encontré con un libro que me llamó la atención. "Hijos de un rey godo". Yo no tuve que aprenderme de pequeño la lista de los reyes godos, pero leía en los comics de Zipi y Zape que esa era su peor pesadilla. Lo compré. Me sorprendió el hecho de que su autora, María Gudín, fuera médico. Concretamente neuróloga. Confieso que en ese momento tuve dudas. Se fueron disipando a medida que leía. Tenía entre mis manos una excelente novela, mezcla de historia y ficción, de lectura absolutamente placentera y adictiva. María Gudín es una extraordinaria escritora, con el mérito añadido de no haber abandonado el ejercicio de la Neurología. Hoy me permito la licencia de recomendar una novela. Enhorabuena a María Gudín. Resignémonos y admiremos.
9 dic 2010
Aneurismas cerebrales. ¿Embolización o clipaje?
Se va a publicar en Neurosurgery un interesante estudio sobre el seguimiento a largo plazo a una poblacion de supervivientes de hemorragia subaracnoidea aneurismática. Entre los datos que aporta el estudio, del que sólo he leído el abstract (y vaya por delante que no soy un experto en estadística) hay un par de datos que me llaman profundamente la atención. Me refiero a las cifras de resangrados letales observados. En 256 pacientes con aneurismas cerebrales tratados mediante embolización se observaron 2 resangrados letales. En 1440 pacientes con aneurismas cerebrales tratados mediante clipaje se observaron 13 resangrados letales. En 17 pacientes con aneurismas cerebrales no tratados se observaron 2 resangrados letales. La duración media del seguimiento fue de 12 años. Me salen aproximadamente un 0.78% de resangrados letales en aneurismas embolizados y un 0.9% en aneurismas clipados. La tercera cifra, un 11,7% de resangrados letales en seguimiento a largo plazo de aneurismas rotos no tratados, también me incita a la reflexión.
El hecho de que haya menor proporción de resangrados letales en pacientes embolizados (sea o no estadísticamente significativo) se contradice ligeramente con la extendida idea, apoyada por resultados a largo plazo del ISAT publicados en Lancet en 2009, de que es más frecuente el resangrado tardío en aneurismas embolizados que en aneurismas clipados.
Bien es cierto que estamos hablando de pacientes que han sobrevivido el primer año, se excluyen por lo tanto pacientes que han fallecido por un resangrado en ese primer año. Por otra parte, y aún a sabiendas de que la muestra es pequeña, me pregunto si el riesgo de resangrado en el primer año incrementa lo suficiente una probabilidad de resangrado letal tardío del 11.7% a 12 años como para justificar la intervención de uno u otro tipo en pacientes de edad avanzada.
Repito. Muy interesante.
Posts anteriores relacionados:
¿Embolización o clipaje?
¿Embolización o clipaje? II
El hecho de que haya menor proporción de resangrados letales en pacientes embolizados (sea o no estadísticamente significativo) se contradice ligeramente con la extendida idea, apoyada por resultados a largo plazo del ISAT publicados en Lancet en 2009, de que es más frecuente el resangrado tardío en aneurismas embolizados que en aneurismas clipados.
Bien es cierto que estamos hablando de pacientes que han sobrevivido el primer año, se excluyen por lo tanto pacientes que han fallecido por un resangrado en ese primer año. Por otra parte, y aún a sabiendas de que la muestra es pequeña, me pregunto si el riesgo de resangrado en el primer año incrementa lo suficiente una probabilidad de resangrado letal tardío del 11.7% a 12 años como para justificar la intervención de uno u otro tipo en pacientes de edad avanzada.
Repito. Muy interesante.
Posts anteriores relacionados:
¿Embolización o clipaje?
¿Embolización o clipaje? II
8 dic 2010
Cerebro, neuronas, sinapsis, impulsos
Haceos un favor. Dadle al play y no quitéis ojo de la pantalla. Disfrutad de esta película. Debería haberse titulado "2001, una odisea en el cerebro". Es corta, pero muy muy jugosa. Si la posibilidad de un viaje hacia lo microscópico existiera y pudiésemos recorrer el interior del cerebro, imagino que los paisajes que veríamos se parecerían fielmente al que aquí se muestra. La belleza interior puede superar en ocasiones a la exterior. Si en vuestras mentes habéis imaginado alguna vez un cuadro repleto de neuronas, sinapsis, dendritas, axones e impulsos eléctricos, estoy seguro de que esta vez creeréis haber encontrado a alguien que ya lo imaginó antes pero con muchos más detalles, con más realismo. En el siglo XXIII alguien meterá una cámara en el epicentro del ser humano y realizará un documental con imágenes muy parecidas a éstas. El trabajo de animación es excelente. Incluso el sonido lo es. Sus autores tienen un prometedor futuro en el cine. Han sabido captar la esencia del personaje y transmitirla al espectador sin obstáculos. Merecen un óscar.
3 dic 2010
Base de datos de imágenes médicas del NCBI
No es un sueño. El NCBI (National Center for Biotechnology Information) ofrece una base de datos de imágenes médicas, llamada "Images", compuesta por aproximadamente 3 millones imágenes procedentes de la literatura biomédica que tiene depositada a texto completo. Puedes realizar búsquedas por palabras clave igual que realizas búsquedas en Pubmed, leer los abstracts e incluso el artículo completo. Lógicamente la mayoría de las imágenes están sujetas a derechos de autor (copyright). Es una nueva filosofía de la búsqueda bibliográfica que, al menos en el caso de los radiólogos, auténticos viciosos de la imagen, tiene el éxito asegurado. Desde luego yo me apunto.
1 dic 2010
Quiste del conducto nasopalatino

En esta resonancia magnética se puede apreciar la existencia de una lesión quística en la parte anterior de la línea media del paladar óseo, que corresponde a un pequeño quiste del conducto nasopalatino. Las imágenes superiores pertenecen a secuencias T2, T1 y T1 con gadolinio en el plano axial, mientras que las inferiores son reformateos en los tres planos del espacio (axial, coronal y sagital) obtenidos a partir de una secuencia T1 volumétrica con gadolinio. Es un quiste que se origina sobre restos embrionarios del conducto nasopalatino. Si os interesa podéis echar un vistazo a esta presentación que he encontrado en slideshare.
Quiste Nasopalatino
27 nov 2010
Schwannoma vestibular
Neuroimagen por resonancia magnética de un paciente con un Schwannoma del nervio vestibular izquierdo (T2 axial, T1 coronal, T1 axial con Gadolinio y T1 coronal con Gadolinio). Se observa una pequeña masa hipercaptante que llena el conducto auditivo interno izquierdo y protruye por el poro acústico interno hacia la cisterna del ángulo pontocerebeloso.
20 nov 2010
Hasta para tener un ictus hay que tener suerte
Cualquier persona que trabaje en el ámbito sanitario sabe que hasta para enfermar hay que tener suerte. Hay días mejores y peores, horas mejores y peores, momentos mejores y peores y lugares mejores y peores. Y las probabilidades de éxito cambian en función de esas variables, no de un modo drástico pero sí de un modo significativo. Son limitaciones inherentes a la naturaleza humana, a la organización y a los individuos que la forman. En muchas ocasiones no se intuye el porqué y en otras se cree intuir. Un grupo de investigadores canadienses ha querido plasmar estas impresiones en papel y ha realizado un estudio estadístico sobre las diferencias en la gravedad y en el manejo de los ictus ocurridos en fin de semana y los ocurridos en días de semana. Si bien el manejo fue similar en ambos grupos, la gravedad y la evolución fue peor en los ocurridos durante el fin de semana. Lo que no llegan a aclarar es la causa de estas diferencias. La conclusión del estudio es que es peor tener un ictus durante el fin de semana.
15 nov 2010
Displasia fibrosa craneal
En estas imágenes podemos ver una displasia fibrosa de la base craneal anterior, con alteración de la textura y aumento de la densidad ósea (que no alcanza la densidad de la cortical), con ese aspecto clásicamente referido como de vidrio esmerilado. La displasia fibrosa craneal puede producir clínica por compresión de estructuras anatómicas, sobre todo neurales, que atraviesan agujeros o hendiduras craneales al producir estenosis de las mismas por aumento del volumen óseo y que pueden requerir, eventualmente, tratamiento quirúrgico descompresivo.
12 nov 2010
Rinolicuorrea por fístula de líquido cefalorraquídeo

La neuroimagen de hoy es la representación gráfica de la rinolicuorrea. La rinolicuorrea se define como el goteo de líquido cefalorraquídeo por una o ambas fosas nasales. Es la esencia semiológica de algunas fístulas de líquido cefalorraquídeo, sobre todo de las más frecuentes que afectan al suelo de la fosa craneal anterior, en especial a la lámina cribosa del etmoides. Estas imágenes fueron obtenidas tras la inyección intratecal, por punción lumbar, de contraste yodado hidrosoluble que posteriormente se conduce hacia las cisternas de la base craneal mediante maniobras posturales y con la inestimable ayuda de la ley de la gravedad aprovechando la circunstancia de que el contraste se hunde en el líquido cefalorraquídeo por ser más denso que éste. Son imágenes de un estudio de cisternografía-TC. La más grande y menos colorida es un corte coronal en el que podéis ver el contraste en los surcos que rodean el cerebro y a la vez el goteo del contraste por la fosa nasal. La imagen pequeña es una interpretación de volumen del estudio tomográfico. El estudio de imagen puede resultar vistoso. Otra cosa bien diferente es que seamos capaces de identificar el defecto óseo, muchas veces pequeño, por el que se produce la fuga de líquido cefalorraquídeo. Hay publicaciones muy optimistas y otras muy pesimistas en cuanto a la rentabilidad diagnóstica de esta prueba. Mi impresión es que si el defecto es pequeño hay que tener suerte para poder identificarlo. En raras ocasiones se consigue ver la salida de contraste a través del mismo. Si a esto le añadimos el handicap propio de una patología que en algunos pacientes es intermitente y no siempre coincide o se puede reproducir en el momento del estudio ya tenemos el paisaje completo.
10 nov 2010
Imagen de la isquemia cerebral
Sugerencias del Chef:
Hoy el chef recomienda la degustación del artículo titulado "Non-traumatic neurological emergencies: imaging of cerebral ischemia". Es una revisita a un plato clásico, "de toda la vida", pero interpretado de una manera exquisita, para los paladares más exigentes.
Non-traumatic neurological emergencies: imaging of cerebral ischemia.Bromas aparte, se trata de un excelente artículo de revisión de la neuroimagen de la patología isquémica cerebral que, si bien fue publicado en 2002 (y ya sabéis que en esto la evolución es muy rápida), no ha perdido vigencia y sigue siendo un artículo fundamental para comprender las bases de la neuroimagen del ictus. En definitiva y sin pretender hacer arqueología radiológica, creo que es un artículo de lectura muy recomendable (si uno no se empeña en comprender algunas fórmulas físicas que incluye) que, a pesar de pequeños cambios técnicos ocurridos en el devenir de los años transcurridos desde su publicación, ayuda mucho a comprender la neurorradiología del ictus. El artículo, de la revista European Radiology, es descargable a texto completo desde el enlace de Springer presente en Pubmed. Mentalmente he agradecido más de una vez a sus autores su magnífico trabajo.
Bon appétit!
Bon appétit!
8 nov 2010
Google homenajea a Röntgen en el aniversario del descubrimiento de los Rayos X
Google, el corazón de internet, homenajea hoy a Wilhelm Konrad von Röntgen colocando en su página de inicio un logotipo referente al aniversario del descubrimiento de los Rayos X, del que hoy hace 115 años. Estos logotipos que Google coloca en su página de inicio, también llamados "doodles", generan una importantísima cantidad de tráfico en internet focalizado hacia el tema referido en los mismos. Hoy, como consecuencia, habrá mucha gente en todo el mundo recordando este descubrimiento, que representa la eclosión del huevo radiológico y una nueva manera de entender la Medicina por parte de la humanidad. Saquémonos el sombrero virtual en honor de este científico que supo ver la luz donde no la había.
5 nov 2010
Patología de la silla turca
A continuación podéis ver una excelente presentación sobre patología de la silla turca con buenas imágenes y mejores gráficos.
Patología de la Silla Turca
Patología de la Silla Turca
3 nov 2010
Complicaciones de la instrumentación vertebral
La tomografía computerizada (TC) es una gran herramienta para la valoración de posibles complicaciones en las instrumentaciones vertebrales. Permite detectar la existencia de fracasos en la fijación e incluso roturas por fatiga de los materiales, como en el caso que aquí veis en el que se observa una banda radiolucente alrededor de los tornillos transpediculares rodeada de un ribete esclerótico y una rotura del tornillo inferior derecho de S1. La imagen de la izquierda es un reformateo multiplanar axial oblicuo siguiendo el plano de los tornillos. Las dos imágenes de la derecha son interpretaciones de volumen (volume rendering, VR).
31 oct 2010
¡Y ahora la tía Mickey! (Aunt Mickey)
Si leisteis un post anterior sobre la tía Minnie, ya conocéis la trascendencia de la expresión en el mundo radiológico. Y para incidir de nuevo sobre este aspecto, sabed que el éxito de la primera ya ha generado una nueva expresión que sin duda se popularizará en el futuro. La tía Mickey (Aunt Mickey) ha llegado. ¿Y quién es la tía Mickey?. La tía Mickey es una que parece la tía Minnie y que uno no se da cuenta de que no lo es mientras no la desnuda, ya me entendéis. Dicho de otra manera, es un diagnóstico alternativo para una tía Minnie, representa un diagnóstico menos común y enfatiza la importancia de la historia clínica, o al menos así lo venden en el blog del AJNR American Journal of Neuroradiology, donde ya existe una pequeña colección de ellas.
Ya sabéis, el lenguaje radiológico sigue creciendo, en este caso a expensas del mundo del comic y del dibujo animado. No me extrañaría que dentro de pocos años todo el mundo creyera que la tía Minnie hubiera surgido también de las manos de nuestro querido Walt Disney.
29 oct 2010
Stenting vs endarterectomía carotídea
Otra nueva referencia bibliográfica sobre la eterna competición endoprótesis (stent) contra endarterectomía se está haciendo pública. Lejos de tomar partido por una u otra técnica, nos limitaremos a ser notarios de la realidad. Parece que en esta ocasión los autores del estudio aconsejan tratar con endarterectomía a los pacientes mayores de 70 años con estenosis carotídeas sintomáticas. Cada uno seguirá actuando según lo que le dicte su intuición y su conciencia teniendo siempre en el horizonte la protección de la salud del paciente. Es sabido que todos estos resultados son escasamente aplicables en la arena diaria ya que todo depende de los medios materiales y humanos de que se disponga y de la experiencia y los resultados de los equipos encargados de realizar ambas técnicas, pero todo lo que sea intentar avanzar en el conocimiento de una enfermedad o su tratamiento debe ser bienvenido e intensamente aplaudido.
25 oct 2010
Infarto cerebral de toda la circulación anterior

En la neuroimagen de hoy podemos ver el estudio tomográfico de un paciente que sufre un infarto isquémico agudo de toda la circulación anterior del hemisferio cerebral izquierdo ("total anterior circulation infarct", "TACI") (territorio de arterias cerebral anterior y media izquierdas) además de la secuela de otras lesiones isquémicas segmentarias en el hemisferio cerebral derecho. Nótese el borramiento de surcos del hemisferio cerebral izquierdo y la disminución de tamaño del ventrículo lateral del mismo lado, así como la ligera hipodensidad difusa de casi todo el hemisferio izquierdo, menos marcada que la existente en las lesiones más crónicas del lado derecho.
15 oct 2010
Cavernoma, angioma cavernoso
Existe una página web dedicada al cavernoma o angioma cavernoso (malformación arteriovenosa angiográficamente oculta que puede ser causa de hemorragias en sistema nervioso) cuyo contenido merece la pena visitar, tanto si eres un profesional de la salud como si eres un paciente o familiar de paciente (algunos cavernomas poseen determinantes genéticos). Se llama Angioma Alliance y teniendo en cuenta la seriedad y calidad de sus contenidos, tenía que estar dirigida por personas que sufren en sus propias carnes o en las de sus seres queridos las consecuencias de esta enfermedad. Su objetivo es facilitar información útil a pacientes y médicos y creo que lo consigue. Juzgad vosotros mismos.
14 oct 2010
Web de interés sanitario
PortalesMédicos.com ha acreditado a la neuroimagen como Web de Interés Sanitario (WIS), por ello a partir de ahora podréis ver el sello de calidad WIS en el blog. Pido disculpas por este post autopromocional, pero me parecía interesante que conocieseis lo que hay detrás del logotipo que ahora podéis ver en la parte de arriba de la columna derecha del blog.
11 oct 2010
Faringocele (Pharyngocele)
Esta es una interpretación de volumen (volume rendering) obtenida a partir de un TAC faríngeo de un paciente trompetista que notaba como se le hinchaban ambos lados del cuello cuando tocaba la trompeta. Con esta técnica de postprocesado conseguimos mostrar las estructuras de contenido aéreo de la vía aerodigestiva superior como si se tratase de un molde. El diagnóstico fue faringocele hipofaríngeo bilateral. Podéis acceder a esta y otras imágenes del caso así como a sus leyendas y una breve discusión en la base de datos europea de casos radiológicos EURORAD , que ya fue mencionada en un post anterior. Se trata del caso número 8802 titulado 3D Multislice CT of bilateral hypopharyngeal pharyngocele. Espero que os guste.
8 oct 2010
Metástasis óseas craneales de carcinoma de próstata

En esta TC craneal de un paciente con antecedentes de carcinoma de próstata podemos observar la existencia de múltiples lesiones osteoescleróticas compatibles con metástasis óseas, situadas en clivus, base de apófisis pterigoides derecha del esfenoides, hueso occipital (a ambos lados del agujero magno y en su porción superomedial), cóndilo mandibular izquierdo y hueso parietal izquierdo.
1 oct 2010
Premios Bitácoras 2010
Ya está disponible la Clasificación Parcial II del Mejor Blog de Ciencia de los Premios Bitácoras 2010. Gracias a vosotros neuroimagen.info se encuentra en el puesto 61 del ranking, lo cual es una enorme satisfacción y un gran estímulo. Desde aquí os animo a emitir vuestro voto por este blog si lo encontráis suficientemente interesante. Nos esforzaremos por ampliar y mejorar los contenidos para estar a la altura de nuestros lectores. Quede constancia aquí de nuestro sincero agradecimiento hacia nuestros seguidores, amigos, lectores y, por supuesto, votantes.
29 sept 2010
Degeneración olivar hipertrófica
La secuencia potenciada en T2 en el plano axial del tronco cerebral del estudio de neuroimagen por resonancia magnética de este paciente muestra una ligera prominencia de ambas olivas bulbares, con hiperseñal de las mismas, característica de la degeneración olivar hipertrófica bilateral.
21 sept 2010
Revolución 3D
Hay un momento en que varias áreas de conocimiento que tienen inicialmente poca relación entre sí confluyen y se asocian produciendo un efecto sinérgico que acelera los avances en una o en las dos de forma espectacular. En Radiología, en los últimos 15 años hemos tenido el privilegio de asistir a la revolución 3D y por supuesto, hemos contado con la inestimable ayuda de todo un colectivo de profesionales que conocian y usaban esta tecnología con anterioridad.
En cuanto nuestras máquinas (TAC y RM) nos han permitido obtener una cantidad de datos suficientes nos hemos despeñado con gusto por una pendiente irreversible de creación de imágenes tridimensionales, al principio con una cierta timidez no exenta de escepticismo y posteriormente con algo de asombro mezclado con satisfacción no disimulada.
El reformateo multiplanar (con una resolución espacial tocando techo y mejorando a marchas forzadas la resolución temporal) y la más espectacular interpretación de volumen (volume rendering), que hace que en ocasiones nos parezcamos más a operarios de cine de animación 3D, serían capaces de catapultar de sus tumbas a los más clásicos anatomistas cuyos dibujos, auténticas obras de arte, no se podían realizar sin fallecimiento previo del ciudadano que servía de modelo y minuciosa disección del mismo.
A menudo intento imaginar los avances que nos perderemos los que estamos hoy en la brecha pero probablemente no tengo suficiente imaginación. Supongo que la progresión geométrica en el avance científico es común a muchos campos de la Medicina, pero en Radiología es tan gráfica...
15 sept 2010
Accidente isquémico transitorio (AIT)
Quisiera sugerir una reflexión a propósito del accidente isquémico transitorio (AIT) (TIA) (transient ischemic attack). Es un reflexión extensible a todos los ámbitos de la Medicina, especialmente en los países donde tenemos la fortuna de tener un sistema sanitario público. Es una reflexión sobre el gasto sanitario. Sobre prioridades. Sobre demagogias y votos. Sobre la dura realidad.
Hace ya demasiados años, cuando estaba en la Facultad de Medicina, reputados neurólogos me enseñaron que un accidente isquémico transitorio es un episodio de disfunción neurológica de origen isquémico que dura menos de 24 horas. Imagino que la mayoría de los lectores tendrán esta misma idea. Bien. Las cosas cambian. Aumenta el conocimiento. Se generaliza la utilización de secuencias de difusión en resonancia. Un buen día la Asociación Americana del Corazón (American Heart Association) propone un pequeño cambio en la definición de AIT. Añade una cláusula. Para ser un AIT debe demostrase la ausencia de infarto.
Stroke. 2009 Jun;40(6):2276-93. Epub 2009 May 7.
Abstract
This scientific statement is intended for use by physicians and allied health personnel caring for patients with transient ischemic attacks. Formal evidence review included a structured literature search of Medline from 1990 to June 2007 and data synthesis employing evidence tables, meta-analyses, and pooled analysis of individual patient-level data. The review supported endorsement of the following, tissue-based definition of transient ischemic attack (TIA): a transient episode of neurological dysfunction caused by focal brain, spinal cord, or retinal ischemia, without acute infarction. Patients with TIAs are at high risk of early stroke, and their risk may be stratified by clinical scale, vessel imaging, and diffusion magnetic resonance imaging. Diagnostic recommendations include: TIA patients should undergo neuroimaging evaluation within 24 hours of symptom onset, preferably with magnetic resonance imaging, including diffusion sequences; noninvasive imaging of the cervical vessels should be performed and noninvasive imaging of intracranial vessels is reasonable; electrocardiography should occur as soon as possible after TIA and prolonged cardiac monitoring and echocardiography are reasonable in patients in whom the vascular etiology is not yet identified; routine blood tests are reasonable; and it is reasonable to hospitalize patients with TIA if they present within 72 hours and have an ABCD(2) score >or=3, indicating high risk of early recurrence, or the evaluation cannot be rapidly completed on an outpatient basis.
No está mal. Va con los tiempos. Pero me gustaría llamar la atención sobre el hecho de que este sencillo cambio puede acarrear la necesidad de realizar un montón de resonancias magnéticas más de las que venimos haciendo, que no siendo pocas, son muchas menos de las que deberíamos hacer. Y me surgen varias preguntas: ¿nos encontramos en posesión de la infraestructura necesaria para poder cumplir este cometido?, si hacemos las cosas bien, ¿podría el gasto ascender hasta límites insostenibles? ¿qué medidas habría que tomar para evitarlo? ¿descatalogar prestaciones? ¿cobrar por algunas prestaciones? ¿copago? ¿podemos asumir y concienciar a la población de que en nuestro sistema sanitario se deben usar diferentes algoritmos diagnósticos o terapéuticos por motivaciones económicas?
Stroke. 2010 Aug 26. [Epub ahead of print]
How Much Would Performing Diffusion-Weighted Imaging for All Transient Ischemic Attacks Increase MRI Utilization?
Adeoye O, Heitsch L, Moomaw CJ, Alwell K, Khoury J, Woo D, Flaherty ML, Ferioli S, Khatri P, Broderick JP, Kissela BM, Kleindorfer D.
From University of Cincinnati Neuroscience Institute, Cincinnati, Ohio; Department of Emergency Medicine, University of Cincinnati, Cincinnati, Ohio; Department of Neurosurgery, University of Cincinnati, Cincinnati, OH; Department of Neurology, University of Cincinnati, Cincinnati, Ohio; Cincinnati Children's Hospital Medical Center, Cincinnati, Ohio.
Abstract
Objectives-The American Heart Association recently redefined TIA to exclude patients with infarction on neuroimaging. Given its advantages, MRI/diffusion-weighted imaging (DWI) was recommended as the preferred imaging modality. We determined how frequently MRI/DWI was performed for TIA and ascertained the proportion of clinically defined TIA patients who had ischemic lesions on DWI in our community in 2005.
METHODS: All clinically defined TIA cases among residents of a 5-county region around Cincinnati who presented to emergency departments were identified during 2005. Demographics and medical history, whether MRI/DWI was performed, and DWI findings were recorded. Generalized estimating equations were used to compare groups to account for the design of the study and multiple events per patient.
RESULTS: Of 834 TIA events in 799 patients, 323 events (40%) had MRI/DWI performed. Patients who had MRI/DWI were younger (mean, 66 vs 70 years; P=0.03), had less severe prestroke disability (baseline modified Rankin Scale score, 0; 44% vs 34%; P=0.02), were less likely to have previous stroke or TIA (42% vs 56%; P=0.002), and were less likely to have atrial fibrillation (10% vs 16%; P=0.01). Of the 323 events with DWI, 51 (15%) had evidence of acute infarction. Patients with positive DWI were older (75 vs 64 years; P=0.0001) and more likely to have atrial fibrillation (21% vs 7%; P=0.002).
CONCLUSIONS: Performing MRI/DWI on all clinically defined TIA patients in our community would reveal more cases of actual infarction but would more than double current use. Future studies should assess whether MRI/DWI is warranted for all TIA patients.
7 sept 2010
Blog de Neurología
No me resisto a recomendaros un blog de Neurología que he conocido. De Neurología, pero no sólo de Neurología. Se llama neurObsesion y es exquisito, delicioso, un placer para los sentidos tanto en contenido como en diseño. El enlace que aquí os añado muestra un tutorial sobre manejo de citas bibliográficas en Word, función muy interesante para cualquiera que escriba un artículo científico, pero confieso que casi todos los posts que he leído en neurObsesion han sido capaces de suscitar mi interés. Frescura, elegancia, concisión, estilo y, por encima de todo, acierto en los contenidos, ... neurObsesion lo tiene todo.
5 sept 2010
El descubrimiento de los Rayos X
Disfrutad como yo con esta pequeña historia sobre el descubrimiento de los Rayos X, un acontecimiento cataclísmico en la evolución de la Medicina. Sólo han pasado 115 años. ¿Qué otros descubrimientos que no podemos ni imaginar disfrutarán los recién nacidos de hoy dentro de más o menos 90 años?
1 ago 2010
Embolización de aneurisma cerebral (Brain aneurysm embolization)
Otra fantástica animación de la embolización de un aneurisma.
27 jul 2010
El experimento de los monos
En relación con el último post titulado "Lumbociática: ¿reposo y antiinflamatorios?" quisiera contaros una fábula científica que muchos de vosotros ya conoceréis y que trata sobre un curioso experimento científico realizado con nuestros primos los chimpancés. Le he llamado fábula, a pesar de que los animales protagonistas no hablan, por tres razones. La primera es porque no tengo pruebas de que el experimento haya sido realizado en realidad, aunque es probable que así haya sido. La segunda es porque de alguna manera hablan, aunque no con palabras. La tercera razón es porque su lectura es ejemplarizante, tiene moraleja, podemos aprender algo de ella y es fácil que nos sintamos identificados con la situación en ella representada.
Vayamos al grano.
Unos científicos ansiosos con acceso a una jaula de chimpancés y nómina en una empresa con un elevado montante de subvenciones estatales en I+D+i, deciden dedicar su tiempo a realizar un experimento con el siguiente diseño.
Una población de chimpancés en número de cinco individuos son confinados en una vivienda con paredes de barrotes y por lo tanto sin problemas de ventilación. En el centro de la estancia se dispone una escalera de aproximadamente unos 10 peldaños, en cuyo extemo superior se coloca un racimo de plátanos o bananas que, como es sabido, constituyen una tentación a la que el primate no se suele resistir (se procederá al recambio del racimo de plátanos en caso de que sea necesario, si su estado de maduración los convierte en poco apetitosos al goloso simio).
En el momento que se descubre el manjar y todavía con cierta confusión el primero de los monos sube por la escalera, segregando más saliva que el perro de Paulov, y alcanza los plátanos, momento que aprovechan los científicos para suministrar un manguerazo de agua helada a los monos que se han quedado esperando, con el consiguiente enfado de los mismos. Esta conducta se repite unas cuantas veces. Más o menos a partir de la tercera los más agudos intuyen que cada vez que uno de ellos toque un plátano los demás recibirán un manguerazo de agua helada automáticamente. Los más frioleros se hacen dueños de la situación y cada vez que un mono con apetito sube a la escalera lo disuaden rápidamente a base de gritos y golpes que generosamente le propinan hasta en el cielo de la boca. Pronto todos aprenden lo que no se debe hacer, y a la manguera comienzan a salirle telarañas por desuso.
Pero hete aquí que los científicos, algo aburridos, deciden sustituir uno de los ejemplares por otro menos maleado y más inocente. Según entra en la jaula y nada más ver el racimo de plátanos en lo alto de la escalera piensa para sí que el racimo debe de ser un regalo de bienvenida y decide darse un homenaje. Pone un pie en el primer peldaño y el resto de los monos lo agarran y le dan otro tipo de bienvenida para que aprenda que esos plátanos son sagrados y no se tocan. Lo aprendió muy rapidito.
En la fase tres del estudio se sustituye otro mono titular por otro suplente. Al poner el pie en el primer peldaño recibe una monumental paliza a la que se suma con gran interés, a pesar de no conocer muy bien los motivos, el primer mono suplente.
Van sustituyendo el tercero y el cuarto. Y siempre que los nuevos intentan subir por la escalera son disuadidos eficazmente por todos los demás sin excepción.
Cuando sustituyen al quinto chimpancé comprueban con asombro que intenta subir a la escalera y todos los demás monos se lo impiden de una forma expeditiva haciendo uso de la violencia. Ninguno de los monos agresores ha recibido nunca un manguerazo de agua helada porque todos los monos titulares han sido sustituidos. El resto de los monos ha aprendido que por alguna razón no se pueden comer los plátanos del extremo de la escalera.
Si los monos pudieran hablar, el quinto de los monos suplentes preguntaría a los demás: ¿pero por qué no podemos coger los plátanos de la escalera, con lo ricos que están?
Cualquiera de sus congéneres sin tener muy clara la razón auténtica le contestaría: "No sé, aquí las cosas siempre se han hecho así".
Afortunadamente no somos chimpancés, tenemos más facilidad para la comunicación que ellos y tal vez algunos de nosotros tengamos más espíritu crítico. No obstante y sorprendentemente, es difícil cambiar una rutina. Se necesita iniciativa, ilusión, compromiso, dedicación y esfuerzo o, en caso de carencia de una o más de las anteriores cualidades, al menos interés (reconocimiento, popularidad, poder, o retribución, bien sea económica o en especie). Personalmente me parecen menos contaminantes las primeras aunque desafortunadamente muy escasas en los tiempos que corren (y me incluyo); y de las segundas, me inspiran cierta ternura el reconocimiento y la retribución siempre que sea transparente y proporcionada. En cuanto al poder y la popularidad me gustan menos como impulsoras del avance científico, pero me temo que globalmente y en la actualidad tienen un elevado peso específico en el mismo.
Vayamos al grano.
Unos científicos ansiosos con acceso a una jaula de chimpancés y nómina en una empresa con un elevado montante de subvenciones estatales en I+D+i, deciden dedicar su tiempo a realizar un experimento con el siguiente diseño.
Una población de chimpancés en número de cinco individuos son confinados en una vivienda con paredes de barrotes y por lo tanto sin problemas de ventilación. En el centro de la estancia se dispone una escalera de aproximadamente unos 10 peldaños, en cuyo extemo superior se coloca un racimo de plátanos o bananas que, como es sabido, constituyen una tentación a la que el primate no se suele resistir (se procederá al recambio del racimo de plátanos en caso de que sea necesario, si su estado de maduración los convierte en poco apetitosos al goloso simio).
En el momento que se descubre el manjar y todavía con cierta confusión el primero de los monos sube por la escalera, segregando más saliva que el perro de Paulov, y alcanza los plátanos, momento que aprovechan los científicos para suministrar un manguerazo de agua helada a los monos que se han quedado esperando, con el consiguiente enfado de los mismos. Esta conducta se repite unas cuantas veces. Más o menos a partir de la tercera los más agudos intuyen que cada vez que uno de ellos toque un plátano los demás recibirán un manguerazo de agua helada automáticamente. Los más frioleros se hacen dueños de la situación y cada vez que un mono con apetito sube a la escalera lo disuaden rápidamente a base de gritos y golpes que generosamente le propinan hasta en el cielo de la boca. Pronto todos aprenden lo que no se debe hacer, y a la manguera comienzan a salirle telarañas por desuso.
Pero hete aquí que los científicos, algo aburridos, deciden sustituir uno de los ejemplares por otro menos maleado y más inocente. Según entra en la jaula y nada más ver el racimo de plátanos en lo alto de la escalera piensa para sí que el racimo debe de ser un regalo de bienvenida y decide darse un homenaje. Pone un pie en el primer peldaño y el resto de los monos lo agarran y le dan otro tipo de bienvenida para que aprenda que esos plátanos son sagrados y no se tocan. Lo aprendió muy rapidito.
En la fase tres del estudio se sustituye otro mono titular por otro suplente. Al poner el pie en el primer peldaño recibe una monumental paliza a la que se suma con gran interés, a pesar de no conocer muy bien los motivos, el primer mono suplente.
Van sustituyendo el tercero y el cuarto. Y siempre que los nuevos intentan subir por la escalera son disuadidos eficazmente por todos los demás sin excepción.
Cuando sustituyen al quinto chimpancé comprueban con asombro que intenta subir a la escalera y todos los demás monos se lo impiden de una forma expeditiva haciendo uso de la violencia. Ninguno de los monos agresores ha recibido nunca un manguerazo de agua helada porque todos los monos titulares han sido sustituidos. El resto de los monos ha aprendido que por alguna razón no se pueden comer los plátanos del extremo de la escalera.
Si los monos pudieran hablar, el quinto de los monos suplentes preguntaría a los demás: ¿pero por qué no podemos coger los plátanos de la escalera, con lo ricos que están?
Cualquiera de sus congéneres sin tener muy clara la razón auténtica le contestaría: "No sé, aquí las cosas siempre se han hecho así".
Afortunadamente no somos chimpancés, tenemos más facilidad para la comunicación que ellos y tal vez algunos de nosotros tengamos más espíritu crítico. No obstante y sorprendentemente, es difícil cambiar una rutina. Se necesita iniciativa, ilusión, compromiso, dedicación y esfuerzo o, en caso de carencia de una o más de las anteriores cualidades, al menos interés (reconocimiento, popularidad, poder, o retribución, bien sea económica o en especie). Personalmente me parecen menos contaminantes las primeras aunque desafortunadamente muy escasas en los tiempos que corren (y me incluyo); y de las segundas, me inspiran cierta ternura el reconocimiento y la retribución siempre que sea transparente y proporcionada. En cuanto al poder y la popularidad me gustan menos como impulsoras del avance científico, pero me temo que globalmente y en la actualidad tienen un elevado peso específico en el mismo.
26 jul 2010
Lumbociática ¿reposo y antiinflamatorios?
La vida del médico es siempre sorprendente. Desde nuestra gestación como profesionales de la salud hemos oído a nuestros ancestros lo de "reposo y antiinflamatorios" cada vez que pasaba cerca de nosotros alguien con dolor lumbar o ciatalgia agudos. Tan unánime era esa creencia que muchos de nosotros jamás la cuestionamos y los más escépticos la ponían en cuarentena indefinidamente dado que había otras verdades más discutibles que derribar. Afortunadamente, aunque no en todos los casos, suele haber quien cuestiona las verdades ancestrales aceptadas por la comunidad científica, algunas de las cuales resultan no ser tan ciertas. A veces incluso hay quien posteriormente cuestiona la nueva verdad, que por supuesto acaba por ser tan incierta como la primera. Es un laberinto, y un trabalenguas. Proporciona cierta inseguridad comprobar como algo se acepta como cierto por la sencilla razón de que algunos con credibilidad lo han repetido hasta la saciedad y han encontrado en los demás una buena caja de resonancia.
La capacidad crítica y el sentido común debe presidir la actuación del médico. Y si algo no parece lógico, debe cuestionarse. En ocasiones conviene incluso cuestionarlo aunque parezca lógico. Con esto no estoy diciendo que no parezca lógico prescribir reposo en una lumbalgia o ciatalgia agudas. Tampoco estoy bendiciendo el contenido del artículo que voy a citar. Pero me parece interesante, digno de consideración y sobre todo ejemplarizante, y no menos sorprendente. La medicina basada en la evidencia nos tiene reservadas muchas sorpresas que irán aflorando poco a poco en años venideros. Pero ya tenemos suficientes indicios que apoyan la doctrina de que en Medicina debería estar prohibido pontificar.
Aunque a algunos profesionales e incluso a algunos pacientes les haya ido bien.
La lumbalgia, ciatalgia y lumbociatalgia agudas son un frecuente motivo de consulta en los servicios de urgencias causado la mayor parte de las veces por patología degenerativa lumbar. A veces son cuadros aparatosos e invalidantes para los pacientes, que suplican una solución para su problema. ¿Qué haremos después de leer este artículo? ¿Suavizar nuestra recomendación de reposo en la lumbalgia y mantenerla en la ciatalgia? ¿Suavizarla en ambos casos? ¿Recomendar actividad suave en la lumbalgia? ¿Recomendarla en la lumbalgia y la ciatalgia? o quizá mantener la misma conducta que hasta ahora mientras nuevas investigaciones no terminen de alcarar cuál es la mejor recomendación. Si empíricamente alguien tiene la sensación de que es mejor la actividad que el reposo para estos pacientes pero no se ha atrevido a popularizarlo por miedo a que lo tomasen por loco, también puede ser el momento para comentarlo.
A continuación podéis leer el abstract del artículo en cuestión.
Cochrane Database Syst Rev. 2010 Jun 16;6:CD007612.
Dahm KT, Brurberg KG, Jamtvedt G, Hagen KB.
Norwegian Knowledge Centre for the Health Services, PO Box 7004, St. Olavs Plass, Oslo, Norway, N-0130.
BACKGROUND: Acute low-back pain (LBP) is a common reason to consult a general practitioner. Debate continues on the comparative effectiveness of advice on bed rest and staying active as part of the primary care management. OBJECTIVES: To determine the effects of advice to rest in bed or stay active for patients with acute low-back pain or sciatica. SEARCH STRATEGY: We searched the Cochrane Back Review Group Trials Register, CENTRAL, MEDLINE, EMBASE, Sport, and SCISEARCH to May 2009, reference lists of relevant articles, and contacted authors of relevant articles. SELECTION CRITERIA: Randomised trials of the effectiveness of advice to stay active or rest in bed for patients with acute LBP or sciatica. The main outcomes were pain, functional status, recovery and return to work. DATA COLLECTION AND ANALYSIS: Two authors independently selected trials, assessed the risk of bias and extracted data. The trials were combined qualitatively or statistically, depending on data availability and presentation. MAIN RESULTS: We included ten RCTs with varying risk of bias. For patients with acute LBP, results from two trials (N = 401) suggest small improvements in pain relief (SMD 0.22 (95% CI: 0.02 to 0.41) and functional status (SMD 0.29 (95% CI: 0.09 to 0.49) in favour of advice to stay active. For patients with sciatica, there is moderate quality evidence of little or no difference in pain relief (SMD -0.03 (95% CI: -0.24 to 0.18)) or functional status (SMD 0.19 (95% CI: -0.02 to 0.41)), between advice to rest in bed or stay active.Low quality evidence (3 RCTs, N = 931) suggests little or no difference between exercises, advice to rest in bed or stay active for patients with acute LBP. Low quality evidence (1 RCT, N = 250) suggests little or no difference between physiotherapy, advice to rest in bed or stay active for patients with sciatica. No trials that compared different ways of delivering advice. AUTHORS' CONCLUSIONS: Moderate quality evidence shows that patients with acute LBP may experience small benefits in pain relief and functional improvement from advice to stay active compared to advice to rest in bed; patients with sciatica experience little or no difference between the two approaches. Low quality evidence suggests little or no difference between those who received advice to stay active, exercises or physiotherapy. Further research is very likely to have an important impact on the estimate of effect and is likely to change our confidence in it.
19 jul 2010
Quiste de Thornwaldt (Thornwaldt cyst)

El quiste de Thornwaldt es un quiste de origen embrionario que suele ser un hallazgo incidental frecuente en estudios de resonancia magnética. Se identifica la mayor parte de las veces como una pequeña lesión quística superficial en la línea media de la porción posterosuperior de la nasofaringe, hiperintensa en secuencia T2 y de intensidad intermedia en T1 (variable según la composición del contenido). En contadas ocasiones puede producir manifestaciones clínicas (sensación de ocupación nasofaríngea, dolor, halitosis).
10 jul 2010
Hematoma protuberancial
Aquí podeis ver una resonancia magnética de un hematoma protuberancial. El estudio de neuroimagen presentado consta de las secuencias: FLAIR axial, T1 sagital, T2 coronal, T2 eco de gradiente axial, T2 axial, difusión, mapa ADC.
7 jul 2010
TC de Oídos (íntegro) (Temporal bone CT, full text)
La que veis más arriba es una versión completa propia del artículo final que se publicó en la revista reseñada más abajo al que ya nos hemos referido en otro post anterior. Nos hemos animado a colgarla como respuesta al interés personal de un lector.
Aknowledgement to Surgical and Radiologic Anatomy (Springer)
The final publication is available at springerlink.com
18 jun 2010
Stroke Scales & Clinical Assessment Tools
En el siguiente enlace se reúnen las más importantes esacalas y herramientas de valoración clínica del infarto cerebral.
15 jun 2010
Spinal Cord Medicine: Principles and Practice
Interesante libro sobre la médula espinal, sus enfermedades y sus tratamientos. Para leerlo debes introducir en el recuadro de búsqueda arriba a la derecha la palabra o palabras clave que te interesen y hacer click en el tema que te interese en la lista de resultados. Ojo, no intentes hacer click en la lista de contenidos salvo para deplegarla, no funcionará.
14 jun 2010
Infarto cerebral agudo (Acute ischemic stroke)
Initial experience with the Penumbra Stroke System for recanalization of large vessel occlusions in acute ischemic stroke.
Menon BK, Hill MD, Eesa M, Modi J, Bhatia R, Wong J, Hudon ME, Morrish W, Demchuk AM, Goyal M. Neuroradiology. 2010 Jun 8. [Epub ahead of print]
Calgary Stroke Program, University of Calgary, Calgary, AB, Canada, bkmmenon@ucalgary.ca.
Abstract
INTRODUCTION: The Penumbra system is a newly approved mechanical device for the treatment of acute stroke designed for better and faster recanalization. We describe our initial experience with the use of this device. METHODS: We studied 27 consecutive patients with acute ischemic strokes due to arterial occlusions presenting at our center from January to October 2009. The primary outcome was the degree of recanalization measured by thrombolysis in myocardial infarction (TIMI grade 2/3) at the end of the procedure. Secondary end points were the proportion of patients who achieved a modified Rankin scale (mRS) All-cause mortality was 19%. CONCLUSIONS: High recanalization rates and good clinical outcomes are achievable with the Penumbra system. Complication rates are comparable to a previously published literature.
En relación con el anterior artículo me surgen varias dudas:
Además creo haber leído en más de una ocasión que mejoras en porcentajes de revascularización (trombolisis intraarterial en general) no se seguían de una correspondiente mejora en las cifras globales de supervivencia o discapacidad.
Se agradecen comentarios.
13 jun 2010
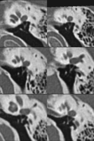
TC de oídos (Temporal bone CT)
Esta es una referencia a un trabajo original sobre postprocesado de TAC de oídos mediante reformateo multiplanar doble oblicuo para estudio de estructuras anatómicas complejas que son difíciles de evaluar en planos coronal y axial. Fue publicado en Surgical and Radiologic Anatomy en el año 2009. Podéis consultar el trabajo original en Oblique multiplanar reformation in multislice temporal bone CT. Blanco M, Vázquez F, Pumar JM, del Río M, Romero G. Surg Radiol Anat.2009 Jul;31(6):475-9.
En estas imágenes no publicadas se representan los dos oídos, mofológicamente normales, de tres pacientes en cada imagen para constatar la reproductibilidad de la técnica. Hemos elegido planos para el estudio de la cóclea, el complejo incudomaleolar, el estribo y el canal facial.
All patients underwent a multislice temporal bone CT and oblique single slice reformation postprocessing in six proposed different planes corresponding to cochlear basal turn, apical basal turn, malleoincudal complex, stapes, and facial channel. Anatomic and pathologic characterization of some middle and inner ear structures, difficult to evaluate in standard axial and coronal planes, can be improved using this technique.
Suscribirse a:
Comentarios (Atom)








